Bonding Tedavisi Nedir? | Bonding Uygulaması
- Anasayfa
- »
- Bonding Tedavisi Nedir? | Bonding Uygulaması
Bonding uygulaması bir diş kaplama tekniğidir. Fakat porselen, zirkonyum, e-max ya da lamina uygulamalarından farklı olarak diş aşındırması, diş ölçüsü, laboratuvar gibi aşamalardan oluşmaz ve tek seansta hekim tarafından hastanın dişine uygulanarak tamamlanır.
Ücretsiz Bilgi Formu
Detaylı Bilgi Al!
Bonding Ne Demek?
Bonding, diş hekimliğinde dişlerin estetik görünümünü düzeltmek amacıyla uygulanan bir tür kompozit dolgu işlemidir. Basitçe söylemek gerekirse bonding, diş yüzeyine özel bir dolgu malzemesinin yapıştırılması ve şekillendirilmesi işlemidir. Bu yöntem genellikle kırık, çatlak, lekeli ya da aralıklı dişlerin görünümünü hızlı bir şekilde düzeltmek için tercih edilir.
Bonding işlemi sayesinde dişin rengi, şekli ve boyutu doğal bir görünüme kavuşturulabilir. Uygulama esnasında dişten fazla bir aşındırma yapılmadığı için diş dokusu korunur ve işlem genellikle tek seansta tamamlanır. Estetik kaygıları olan kişiler için pratik ve ekonomik bir çözüm sunar.
Tedavi Özeti
Bu içerikler sadece bilgilendirme amaçlıdır. Detaylı bilgi için WhatsApp üzerinden veya ücretsiz danışma formunu doldurarak bizimle iletişime geçebilirsiniz.
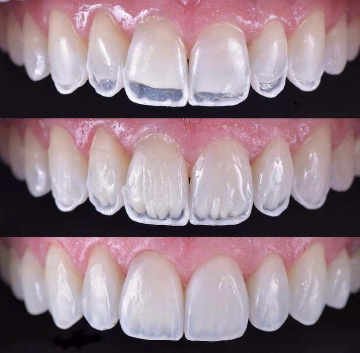
Bonding Dişlere Nasıl Uygulanır?
Bonding işlemi oldukça özenli bir hazırlık ve dikkatli bir uygulama gerektirir. Öncelikle diş hekimi, diş yüzeyini pürüzlendirerek bonding malzemesinin dişe daha iyi tutunmasını sağlar. Ardından dişe özel bir yapıştırıcı uygulanır ve kompozit reçine adı verilen diş rengindeki dolgu maddesi dikkatlice dişin üzerine yerleştirilir.
Bu malzeme dişin doğal formuna uygun şekilde şekillendirilir ve ardından özel bir ışık cihazı kullanılarak sertleştirilir. Son aşamada diş hekimi bonding uygulanan bölgeyi cilalar ve parlatır, böylece diş hem pürüzsüz bir dokuya kavuşur hem de doğal bir parlaklık kazanır. Tüm işlem genellikle 30 ila 60 dakika arasında sürer ve çoğu zaman anestezi gerektirmez. Bu sayede bonding, hem zahmetsiz hem de hızlı sonuç veren estetik bir uygulama olarak öne çıkar.
Bonding Uygulaması Sonrası Sararmalar Olur mu?
Hekim tarafından doğru şekilde cila yapılırsa ve hasta kontrollerini aksatmaz ve dişlerine uygun şekilde bakım yaparsa sararmalar olmayacaktır.
Bonding Tedavisi Hangi Malzemeler ile Yapılır?
Bonding tedavisinde kullanılan başlıca malzeme düşük viskoziteli kompozit reçinelerdir. Bu reçineler cam filler (silika) parçacıkları ve organik reçine matriksi içerir; ışıkla kürlenebilen monomerler sayesinde kısa sürede sertleşir. Materyal seçimi sırasında diş rengine en yakın ton belirlenerek estetik uyum sağlanır.
Yapıştırıcı (bonding ajanı) olarak adlandırılan asit jel ile diş yüzeyi mikro çapraz bağlantıya hazırlanır ve ardından adeziv ajan uygulanır. Son olarak kompozit katmanlar istenen formda şekillendirilip mavi dalga boyutunda LED ışıkla kürlenerek işlemi tamamlanır. Bu malzemeler diş dokusuna minimal düzeyde müdahale edilmesini mümkün kılar.
Porselen, Zirkonyum veya Lamina gibi uygulamaların aksine ömrü daha kısadır. Yaklaşık 5-10 yıl kullanılabilir.
İletişime Geç!
Bonding Tedavisi ile Kaplama Arasındaki Farklar Nelerdir?
Bonding tedavisi ile kaplama arasındaki temel farklar şunlardır:
Uygulama Süreci: Bonding tedavisi genellikle tek seansta tamamlanabilirken, kaplama uygulaması laboratuvar aşamaları gerektirdiğinden en az 2-3 seans sürer. Bonding daha pratik bir çözümdür.
Müdahale Derecesi: Bonding işlemi sırasında diş yüzeyine çok az müdahale edilir veya hiç kesim yapılmaz. Kaplama için ise dişin ön yüzeyinden bir miktar aşındırma yapılması gerekir.
Kullanılan Malzeme: Bonding, kompozit reçine adı verilen ışıkla sertleşen bir malzeme ile yapılır. Kaplamalar ise porselen veya zirkonyum gibi daha dayanıklı ve estetik materyallerden üretilir.
Estetik Görünüm: Porselen kaplamalar uzun vadede renk sabitliği ve doğal diş parlaklığı açısından daha başarılıdır. Bonding ise kısa vadeli ve ekonomik bir estetik çözüm sunar ancak zamanla renklenebilir.
Dayanıklılık: Kaplamalar bonding’e göre çok daha uzun ömürlüdür. Bonding tedavisi 3-5 yıl arasında değişen bir dayanıklılık gösterirken, kaplamalar 10 yıl ve üzeri sürelerle kullanılabilir.
Maliyet: Bonding tedavisi, kullanılan malzeme ve işlem süresi daha kısa olduğundan kaplamalara göre daha ekonomiktir.
Onarım Kolaylığı: Bonding uygulamaları gerektiğinde klinik ortamda kolaylıkla onarılabilir. Kaplamalarda ise hasar durumunda genellikle yenisi yapılması gerekir.
Bu farklar doğrultusunda hangi tedavinin tercih edileceği, hastanın beklentileri, bütçesi ve diş yapısının durumuna göre diş hekimi tarafından belirlenmelidir.
Bonding ile Birlikte Hangi Estetik Tedaviler Yapılabilir?
Bonding tedavisi genellikle diş beyazlatma, diş eti şekillendirme ve lazer destekli diş eti tedavileriyle kombine edilebilir. Diş beyazlatma işlemi, kompozit reçinenin uygulanmasından önce yapıldığında, bonding malzemesinin rengi daha doğru seçilir ve uyum sağlanır. Diş eti şekillendirme; gülüş hattındaki dengesizlikleri gidererek dişlerin daha orantılı görünmesini sağlar. Bu estetik işlemler bir arada yapıldığında hem dişlerin formu hem de diş etlerinin hizası iyileşir, bu sayede doğal ve simetrik bir gülüş elde edilir.
Bonding Tedavisi Hangi Diş Problemleri İçin Tercih Edilir?
Bonding tedavisi, dişlerdeki küçük çatlak, kırık ve aşınmaları onarmak, diş arası boşlukları kapatmak ve diş renginde düzensizlikleri gidermek için sıklıkla tercih edilir. Özellikle ön bölgede meydana gelen hafif çarpıklık ve boy kısalığı gibi durumlarda, porselen kaplama ya da diş teli gibi daha invaziv yöntemlere gerek kalmadan hızlı bir estetik çözüm sunar. Ayrıca diş kenarlarındaki düzensizlikler düzeltilerek dişler eşit formda hazırlanabilir. Bonding, çürük öncesi aşırı madde kaybı yaşamış bölgelerin mikro restorasyonları için de ideal bir uygulamadır.
Bonding Uygulamaları İçin Uygun Adaylar Kimlerdir?
- Dişlerinde renk ve şekil bozukluğu olan.
- Dişlerinde aralıklar bulunan.
- Güldüğünde dişlerinin yeterince görünmediğini düşünen.
- Dişlerinin boyunun kısa olmasından şikayetçi olan.
- Tek seansta birkaç saat içerisinde sonuç almak isteyen tüm hastalara Bonding uygulanabilir.
Bonding Uygulaması Avantajları Nelerdir?
- İstendiği takdirde dişlere zarar verilmeden sökülebilir.
- Tek seansta gülümsemeniz tamamen değişir.
- Bonding uygulaması ile Gülüş Tasarımı yapılabilir.
- Hasta istediği rengi aynı seansta seçerek karar verebilir.
- İşlem anında hasta uygulamayı canlı izler ve tedavi ile beklentilerini o anda hekimle paylaşabilir .
Bonding Tedavisi Sonrası Yemek Yerken Nelere Dikkat Edilmeli?
Bonding uygulamasından sonra ilk 24 saat boyunca çok sert, yapışkan ve çok sıcak soğuk yiyeceklerden kaçınmak, reçinenin tam sertleşmesine yardımcı olur. Fındık, kabuklu yemiş veya çekirdek gibi sert gıdalar diş yüzeyindeki bonding malzemesini çatlatabilir; sakız ve benzeri yapışkan yiyecekler ise malzemeyi yerinden oynatabilir. Aromatik ve renk yoğunluğu yüksek gıdılar (kahve, kırmızı şarap, berry meyveleri) ilk birkaç gün sınırlı tüketilmelidir, çünkü kompozit reçine yüzeyine renk tutabilir. Bu dönemde dişleri nazikçe fırçalamak ve ağız gargarası kullanmak da bakım sürecini destekler.

Sık Sorulan Sorular
iletişime geçebilirsiniz.
- Renk-şekil bozukluğuna sahip.
- Ayrık dişler (diastema)
- Gülümsendiğinde kısa diş görüntüsü.
- Hafif çapraşığa sahip.
- İçerde konumlanan dişlerin oluşturduğu bütün estetik sorunlar tek seansta giderilebilir.
Dişler üzerinde hiçbir aşındırma yapılmadığı için ağrı hissedilmez.
Günde 2 kere doğru şekilde diş fırçalama ve arayüz temizliği dışında ekstra bir temizliğe gerek yoktur.
Kullanılan özel dolgulara ve uygulanan tekniğe bağlı olarak doğallık değişecektir. Doğru materyal ve teknik kullanılırsa doğal ve estetik bir sonuç alınacaktır.
Ön bölgede konumlanan renk ve şekil bozukluğu olan dişlere uygulanabilir.
Ağız bakımı doğru şekilde yapılmalıdır. Ekstra bir önleme gerek yoktur.
Bonding Kalıcı bir uygulamadır.
Evet yapılır.
Doğal dişler kadar güçlü olmasalar da kabuk gibi aşırı sert şeyler ısırılmadığı müddetçe kırılmaz.
Tek seansta birkaç saat içerisinde tedavi bitirilir.
Verilebilir. Beyaz ve sarının tüm tonları renk olarak mevcuttur.
Düzgün bir şekilde bakıldığında ve rutin diş hekimi kontrolünde 5 ila 10 yıl arası ömüre sahiptir.
Elbette kapatılabilir.
Bonding uygulaması ile dişlere istenilen şekil hastanın beklentiler ve hekimin gözetimi doğrultusunda verilebilir.
Porselen, zirkonyum veya lamina gibi işlemlerden daha uygun fiyata sahip Bonding işleminin fiyatını en doğru şekilde öğrenmek için kliniğimizle iletişime geçebilirsiniz.