ما هو علاج الترابط؟ | كيف يتم ذلك؟ | تطبيق الترابط
- Home
- »
- ما هو علاج الترابط؟ | كيف يتم ذلك؟ | تطبيق الترابط
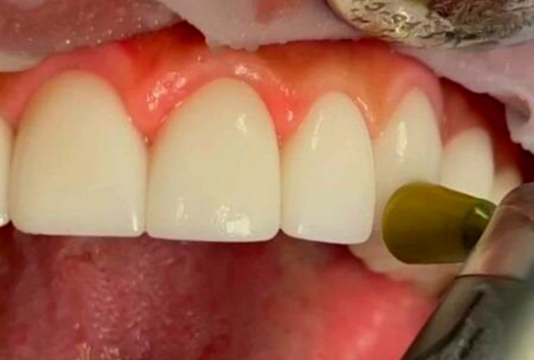
تطبيق الترابط هو تقنية طلاء الأسنان. ولكن، على عكس تطبيقات البورسلين أو الزركونيوم أو الزركونيوم أو إي-ماكس أو الصفيح، لا يتكون من مراحل مثل كشط الأسنان وقياس الأسنان والمختبر ويتم إنجازه في جلسة واحدة من قبل الطبيب من خلال تطبيقه على سن المريض.
استمارة معلومات مجانية
احصل على معلومات مفصلة!
كيف يتم تنفيذ تطبيق الترابط؟
يتم وضع الحشوة التجميلية المنتجة خصيصاً لهذه العملية على الأسنان باستخدام مواد لاصقة خاصة. لا يتم إجراء أي تآكل في الأسنان.
يقوم طبيب الأسنان بتغطية الأسنان بالحشوات التجميلية باللون والشكل المطلوبين في نفس الجلسة.
ثم ينهي التطبيق بإجراء تصحيحات وتلميعات مختلفة على الحشوات.
هل يحدث الاصفرار بعد تطبيق الترابط؟
إذا تم التلميع بشكل صحيح من قبل الطبيب ولم يقاطع المريض الضوابط ويعتني بأسنانه بشكل صحيح، فلن يكون هناك اصفرار.
العلاج الملخص
هذا المحتوى لأغراض إعلامية فقط. للحصول على معلومات تفصيلية، يمكنك الاتصال بنا عبر واتساب أو عن طريق ملء نموذج الاستشارة المجانية.
ما هي المواد التي يُصنع منها علاج الترابط؟
المادة الرئيسية المستخدمة في معالجة الترابط هي الراتنجات المركبة منخفضة اللزوجة. تحتوي هذه الراتنجات على جزيئات حشو زجاجي (سيليكا) ومصفوفة راتنج عضوي؛ وتتصلب في وقت قصير بفضل المونومرات القابلة للمعالجة بالضوء. يتم ضمان التناغم الجمالي من خلال تحديد الظل الأقرب إلى لون الأسنان أثناء اختيار المادة.
يتم تحضير سطح السن للربط الدقيق باستخدام هلام حمضي يسمى عامل الربط ثم يتم وضع العامل اللاصق. وأخيراً، يتم تشكيل الطبقات المركبة بالشكل المطلوب ومعالجتها باستخدام ضوء LED بموجة زرقاء لإكمال العملية. تتيح هذه المواد إمكانية التداخل مع أنسجة الأسنان بأقل قدر ممكن.
على عكس تطبيقات مثل البورسلين أو الزركونيوم أو اللامينة، فإن عمره الافتراضي أقصر. يمكن استخدامه لحوالي 5-10 سنوات.
احصل على استشارة مجانية
ما هي الاختلافات بين علاج الترابط والقشرة الخشبية؟
تتمثل الاختلافات الرئيسية بين العلاج بالربط والقشرة الخشبية فيما يلي:
- عملية التطبيق: يمكن عادةً إكمال العلاج بالترابط في جلسة واحدة، بينما يتطلب الفينير ما لا يقل عن 2-3 جلسات لأنه يتطلب مراحل مخبرية. الترابط هو الحل الأكثر عملية.
- درجة التدخل: أثناء عملية الترابط، يتم إجراء قطع بسيط أو لا يتم إجراء أي قطع على سطح السن. بالنسبة للقشرة، يلزم إجراء بعض الكشط من السطح الأمامي للسن.
- المواد المستخدمة: تتم عملية الربط باستخدام مادة معالجة بالضوء تسمى الراتنج المركب. تُصنع القشرة من مواد أكثر متانة وجمالية مثل البورسلين أو الزركونيوم.
- المظهر الجمالي: تُعد قشرة البورسلين أكثر نجاحاً من حيث ثبات اللون وسطوع الأسنان الطبيعي على المدى الطويل. من ناحية أخرى، يوفر الترابط حلاً جمالياً واقتصادياً على المدى القصير، ولكن يمكن أن يتغير لونها بمرور الوقت.
- المتانة: تدوم قشرة الأسنان لفترة أطول بكثير من التركيب. في حين أن المعالجة بالترابط لها متانة تتراوح بين 3-5 سنوات، يمكن استخدام القشرة لمدة 10 سنوات أو أكثر.
- التكلفة: علاج الترابط أكثر اقتصاداً من الفينير بسبب المواد المستخدمة ووقت المعالجة الأقصر.
- سهولة الإصلاح: يمكن إصلاح تطبيقات الترابط بسهولة في العيادة عند الضرورة. من ناحية أخرى، عادة ما تحتاج القشرة الخشبية إلى الاستبدال في حالة حدوث تلف.
تماشياً مع هذه الاختلافات، يجب أن يحدد طبيب الأسنان العلاج المفضل وفقاً لتوقعات المريض وميزانيته وحالة بنية الأسنان.
ما هي العلاجات التجميلية التي يمكن إجراؤها باستخدام الترابط؟
يمكن في كثير من الأحيان الجمع بين علاج الترابط مع تبييض الأسنان وتحديد اللثة وعلاج اللثة بالليزر. عندما يتم إجراء تبييض الأسنان قبل وضع الراتنج المركب، يتم اختيار لون مادة الترابط بشكل أكثر دقة ويتحقق الانسجام. تشكيل اللثة؛ يجعل الأسنان تبدو أكثر تناسقاً من خلال إزالة الاختلالات في خط الابتسامة. عندما يتم تنفيذ هذه الإجراءات التجميلية معاً، يتم تحسين شكل الأسنان ومحاذاة اللثة، مما ينتج عنه ابتسامة طبيعية ومتناسقة.
ما هي مشاكل الأسنان التي يفضل علاجها بالترابط؟
غالباً ما يُفضل علاج الترابط لإصلاح التشققات الصغيرة والكسور والخدوش على الأسنان، ولإغلاق الفراغات بين الأسنان ولإزالة الشذوذ في لون الأسنان. وهو يوفر حلاً جمالياً سريعاً دون الحاجة إلى طرق أكثر توغلاً مثل قشور البورسلين أو تقويم الأسنان، خاصةً في حالات مثل الاعوجاج الخفيف وقصر القامة في المنطقة الأمامية. وبالإضافة إلى ذلك، يمكن تصحيح العيوب الموجودة على حواف الأسنان وإعداد الأسنان بشكل متساوٍ. كما أن الترابط هو أيضاً تطبيق مثالي للترميم الدقيق للمناطق التي عانت من فقدان مفرط للمواد قبل التسوس.
من هم المرشحون المناسبون لتطبيقات الترابط؟
- وجود تغير في اللون وتشوه في الأسنان.
- وجود فجوات في أسنانهم.
- الاعتقاد بأن أسنانهم غير مرئية بما فيه الكفاية عندما يضحكون.
- الشكوى من قصر طول أسنانهم.
- يمكن تطبيق الترابط لجميع المرضى الذين يرغبون في الحصول على نتائج في بضع ساعات في جلسة واحدة.
ما هي مزايا تطبيق الترابط؟
- إذا رغبت في ذلك، يمكن إزالته دون الإضرار بالأسنان.
- تتغير ابتسامتك بالكامل في جلسة واحدة.
- يمكن إجراء تصميم الابتسامة مع تطبيق الترابط.
- يمكن للمريض اختيار اللون الذي يريده في نفس الجلسة.
- في وقت إجراء العملية، يمكن للمريض مشاهدة التطبيق مباشرةً ومشاركة توقعاته مع الطبيب في تلك اللحظة.
ما الذي يجب مراعاته عند تناول الطعام بعد علاج الترابط؟
يساعد تجنب الأطعمة شديدة الصلابة واللزجة والساخنة والباردة جداً خلال الـ 24 ساعة الأولى بعد التركيب على تصلب الراتنج بالكامل. يمكن للأطعمة الصلبة مثل المكسرات أو المكسرات أو البذور أن تكسر المادة اللاصقة على سطح السن؛ ويمكن للأطعمة اللزجة واللزجة المماثلة أن تزحزح المادة. يجب الحد من الأطعمة العطرية والأطعمة ذات الألوان العالية (القهوة والنبيذ الأحمر وفواكه التوت) في الأيام القليلة الأولى لأنها يمكن أن تلطخ سطح الراتنج المركب. كما يدعم التنظيف اللطيف للأسنان بالفرشاة واستخدام غسول الفم خلال هذه الفترة عملية العناية.

الأسئلة المتداولة
يمكنك إلقاء نظرة على الأسئلة المتداولة لمرضانا والاتصال بنا للإجابة عن أي أسئلة أخرى قد تكون لديك.
- مع تغير اللون والتشوه.
- أسنان منفصلة (دياستيما)
- مظهر الأسنان القصيرة عند الابتسام.
- ازدحام طفيف.
- يمكن التخلص من جميع المشاكل الجمالية الناجمة عن وضع الأسنان في الداخل في جلسة واحدة.
بما أنه لا يحدث أي تآكل في الأسنان، فلن تشعر بأي ألم.
ليست هناك حاجة لتنظيف إضافي غير تنظيف الأسنان بالفرشاة المناسبة وتنظيف الواجهة مرتين في اليوم.
تختلف الطبيعة حسب الحشوات الخاصة المستخدمة والتقنية المطبقة. إذا تم استخدام المواد والتقنية الصحيحة، سيتم الحصول على نتيجة طبيعية وجمالية.
لا، لن يحدث ذلك.
يمكن تطبيقه على الأسنان ذات الأسنان المتغيرة اللون والمشوهة الموجودة في المنطقة الأمامية.
العناية السليمة بالفم ضرورية. لا توجد احتياطات إضافية ضرورية.
الترابط هو تطبيق دائم.
نعم، لقد تم ذلك.
على الرغم من أنها ليست قوية مثل الأسنان الطبيعية، إلا أنها لن تنكسر إلا إذا تم قضم أشياء شديدة الصلابة مثل الأصداف.
في جلسة واحدة، يكتمل العلاج في غضون ساعات قليلة.
يمكن توريدها. جميع درجات اللونين الأبيض والأصفر متوفرة بالألوان.
يتراوح عمرها الافتراضي من 5 إلى 10 سنوات مع العناية المناسبة والمراقبة الروتينية من قبل طبيب الأسنان.
بالطبع يمكن إغلاقه.
مع تطبيق الترابط، يمكن إعطاء الشكل المطلوب للأسنان بما يتماشى مع توقعات المريض وإشراف الطبيب.
يمكنك الاتصال بعيادتنا لمعرفة سعر عملية الترابط، والتي تعتبر أقل تكلفة من عمليات مثل البورسلين أو الزركونيوم أو الصفيحة الخزفية بأكثر الطرق دقة.